Achieve the Perfect Smile with Modern Dental Crowns
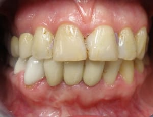
Before
After
Transforming Confidence with Empress Crowns: A Smile Makeover Story
For years, she felt self-conscious about her smile, believing she had waited too long to achieve the smile she had always wanted. Public interactions made her feel uncomfortable, knowing her smile didn't reflect the person she was inside.
In just two appointments, we completely transformed her smile using Empress crowns, restoring her confidence with a stunning, clean appearance. She’s now thrilled with her smile, knowing it will remain beautiful for years to come, as Empress crowns are stain-resistant and durable.
Her story shows how dental crowns can not only enhance appearance but also improve confidence, making it easier to smile with pride every day.
Before
After
Revitalizing a General Surgeon’s Smile with Full Ceramic and Zirconia Crowns
Diane, a General Surgeon from Romania, came to us with dental work from Europe that had begun to show its age. Her teeth no longer looked as bright or clean as she wanted, affecting her confidence, especially as a medical professional.
We gave Diane the smile she always desired by placing full ceramic and Zirconia crowns. These durable, comfortable crowns not only restored her smile's appearance but also gave her the confidence she needed when speaking with patients and chewing without worry.
With her rejuvenated smile, Diane now feels more confident than ever, both personally and professionally, proving how dental crowns can make a lasting impact on both appearance and career.
Before
After
Restoring Function and Confidence with Zirconia Crowns and Dental Implants
Dawn came to us fearing that she would lose all of her remaining teeth. She had worn down the biting surfaces of her teeth and had negative past dental experiences, including pain, anxiety, and poor results.
We were able to restore her ability to chew and smile with zirconia crowns on her natural front teeth and dental implants in the back. The process was completed with minimal appointments, minimal pain, and minimal anxiety, catering to her busy schedule as a schoolteacher. Although the treatment could have been completed faster, we worked with Dawn's time and budget to ensure the best outcome.
The results speak for themselves — a functional and beautiful smile that restores both her appearance and confidence, demonstrating how zirconia crowns and dental implants can make a real difference in the lives of our patients.
Before
After
Schedule an appointment today!
