From Insecurity to Confidence: How Candice Transformed Her Smile with Crowns and Dental Implants
When Candice first visited us, she felt insecure about her smile and avoided showing her teeth in photos. She also struggled with chewing properly and worried about losing her teeth.
Our team at Implant and Family Dentistry provided a comprehensive solution by correcting her bite and restoring her smile with a combination of dental crowns and implants. Now, 8 years later, Candice’s rejuvenated smile is still going strong! She takes excellent care of her teeth and loves confidently smiling in holiday photos with her family.
Candice’s story is proof of how modern dental restorations can give you back your smile—and your confidence.
Before
After
Restoring Jay’s Smile and Chewing Ability with Full Lower Dental Implants
Jay came to us after years of struggling without any lower teeth. Wearing a lower denture was impossible, and eating comfortably had become a daily challenge.
In just a few short appointments, we transformed Jay's life with a full lower dental implant restoration. Not only did this give him a complete, functional smile, but it also restored his ability to eat with confidence and comfort.
Jay’s success story shows how dental implants can provide a permanent, life-changing solution for those who struggle with missing teeth.
Before
After
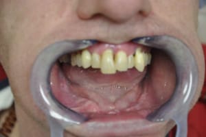
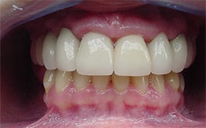
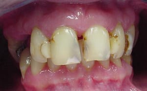
Reviving Bonnie’s Smile with Front Tooth Crowns and Dental Implants
Bonnie came to us with worn, discolored front teeth and multiple cavities. She worried about losing her teeth and felt her smile was holding back her confidence. After discovering that one tooth couldn’t be saved, we created a personalized treatment plan to address her concerns.
With a combination of dental implants and front tooth crowns, we were able to fully restore Bonnie’s smile. She now enjoys the beautiful, healthy smile she always wanted and beams with confidence in every photo.
Bonnie’s journey highlights how modern dental restorations can bring new life to tired smiles and boost self-confidence.
Before
After
Upper Dental Implants: How We Restored a Confident Smile for a Busy Career Woman
This patient struggled with wearing an upper denture due to the shape of her jaw and a strong gag reflex. Her inability to use a denture made chewing difficult and affected her confidence.
Our team provided a lasting solution by placing upper dental implants, giving her a secure, comfortable, and functional smile. Now, she can chew with ease, and her smile is absolutely stunning.
Her story is a testament to how dental implants can offer life-changing results when traditional dentures aren’t an option, helping patients regain comfort and confidence.
Before
After
Dental Implant Before and After
Before
After
Schedule an appointment today!
