Explore Our Dental Veneers Smile Transformations
Before
After
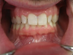
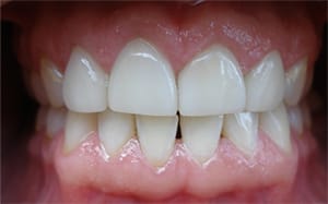
Achieve the Perfect Smile with Dental Veneers
Lisa was very self-conscious of her overly large front teeth. She did not like to smile in photos. She also lacked self-confidence. We were able to straighten her teeth as well as give her the shade she wanted. Now she can smile with confidence and enjoy her family photos during holidays and travel.
Before
After
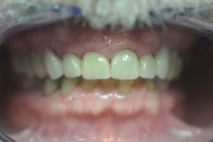
Get the Smile You've Always Wanted with Veneers
Kristina is a young lady who wanted perfect straight front teeth as well as a bright permanent smile. Empress veneers were the solution to her concerns. Now she has that knock out great smile she has always wanted. She is also confident since it is a permanent solution.
Before
After
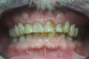
Dental Veneers, Dramatic Smile Transformations
This nice lady had dark stains in her teeth that would not respond to any whitening treatment. She was also very nervous about having any un-reversable treatment done on her front teeth. We were able to give her the bright beautiful smile she wanted using very conservative preparations that would not make her teeth too sensitive. She is so excited about her new, clean and beautiful looking smile.
Before
After
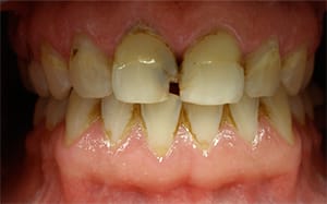
Dental Veneers Gallery: Smile Makeover
Her lateral incisors were too small so there were large spaces between her other front teeth. She also didn’t like how her teeth were rotated and crooked. We were able to fix that very quickly with no numbness required. Her Empress veneered lateral incisors blend perfectly with her other teeth in size and shade. She is so excited and confident now with her new smile!
Before
After
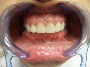
Dental Veneers: Your Path to a Perfect Smile
This young lady is a very picky cosmetologist. She wanted to have the spots on her teeth corrected as well as have her teeth whiter. We began with “White and Brite” to Whiten her teeth several shades. Then we placed Empress Veneers on her 4 front teeth matching the bleaching shade she attained with the “White and Brite.” This process took about a month start to finish, and the results are stunning.
Before
After
Transform Your Smile with Dental Veneers
Before
After
Veneers: The Secret to a Flawless Smile
Before
After
Schedule an appointment today!
